
25 2月 ヒップアップ
ヒップアップ ~高周波ラジオ波(温熱)+中周波EMS(筋トレ)~
健康な一般女性の体脂肪は体重の18%から25%くらいあります。
女性は特に臀部が極だって大きく、そのほとんどが脂肪です。
脂肪はエネルギー貯蓄を主な働きとする「アジポサイト」と呼ばれる細胞で構成され、結合繊維組織によって間仕切りされた小さな脂肪の塊となっています。
この脂肪の塊は真皮と筋肉の間でぶどうの房状になって広がり、この皮下にある脂肪組織は「セルライト」と呼ばれ、リンパ管や血管を圧迫し、血液が蓄えられた脂肪酸を運ぶのを妨げます。
赤外線サーモグラフィでも脂肪の多い部分は青く、温度低下が見受けられます。
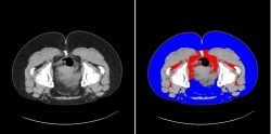
実際にCT画像を撮ってみました。
モデルは20代女性で体重78kgです。
青い部分が脂肪層で、赤が内臓脂肪、グレーが筋肉です。
やはり脂肪層が目立ちますね。
低周波のEMSをかけたとしても、脂肪層が厚いため、深部の筋肉まではほぼ到達しませんし、仮にボリュームを上げたとすれば皮膚抵抗が強くなり、チリチリとした嫌な痛みを感じるでしょう。
それ故、トレーニングをみっちりやっても、局部的なセルライトを完全になくすのは難しいのです。
ダイエットをして、胸が小さくなってもお尻はそのままという例は珍しくないわけです。
そもそも脂肪1キロを消費するのに約7200kcalもの運動が必用となり、概ねフルマラソン約3週分とも言われます。
運動だけで効果的に臀部を小さくするのはかなり厳しいといえます。
当院では、高周波によるラジオ波を照射し、深部の筋肉まで温めることが可能です。
イメージとしてはラードを溶かすような感じでしょうか?
キャビテーションも似たようなトリートメントですが、温熱感がないのと、振動音があるためあまり人気がないようです。
充分な温熱を入れた後に中周波によるEMSをかけていきます。
単に筋肉を引き締めるというだけではなく、腰痛予防や重心、安定性の向上を図ります。
終了後、立った瞬間に姿勢が良くなったのを実感できます。








Sorry, the comment form is closed at this time.